Introduction to All-on-4 Dental Implants
All-on-4 dental implants represent a transformative approach in restorative dentistry, designed to replace an entire arch of teeth using only four strategically placed implants. This innovative technique offers a stable and durable solution for individuals who have lost most or all of their teeth, providing significant improvements in both aesthetics and functionality compared to traditional dentures.
The All-on-4 technique works by anchoring a full set of prosthetic teeth onto four titanium implants that are surgically embedded into the jawbone. These implants act as robust supports for the dental prosthesis, ensuring a secure fit and natural look. Unlike traditional dentures, which can slip and cause discomfort, All-on-4 dental implants offer a fixed and permanent solution, allowing patients to eat, speak, and smile with confidence.
One of the key advantages of All-on-4 dental implants is the minimization of bone grafting procedures. Traditional dental implants often require bone grafting to provide sufficient support for the implants, especially in cases of significant bone loss. However, the All-on-4 technique utilizes the denser bone in the front part of the jaw, reducing or eliminating the need for additional bone grafting. This makes the procedure less invasive and more accessible to a wider range of patients.
The procedure itself is typically completed in one day, with the implants and a temporary set of teeth placed in a single surgical session. This immediate loading approach ensures that patients leave the clinic with a functional set of teeth, avoiding the extended healing periods associated with traditional implant methods. Over the following months, as the implants integrate with the bone, a permanent set of teeth is custom-made and fitted.
In summary, All-on-4 dental implants offer a revolutionary solution for those seeking to restore their smile and oral functionality. By providing a stable, aesthetically pleasing, and less invasive alternative to traditional dentures and implants, this technique has become a preferred choice for many patients worldwide.
Why Choose All-on-X in Istanbul for All-on-4?
When considering a transformative dental procedure like All-on-4 dental implants, the choice of clinic is paramount. All-on-X in Istanbul stands out as a premier destination for this procedure, due to its exceptional combination of factors that ensure optimal patient outcomes. The clinic boasts a stellar reputation, having established itself as a leader in the field of dental implants. This reputation is built on years of successful procedures and patient satisfaction.
The state-of-the-art technology employed at All-on-X is another critical advantage. The clinic is equipped with the latest dental technology, ensuring precision, safety, and efficiency in every procedure. From advanced imaging systems that provide clear and accurate diagnostics to cutting-edge surgical tools that enhance the precision of implant placement, the technological infrastructure at All-on-X is second to none. This high level of technological integration significantly reduces the risk of complications and enhances the overall success rate of the implants.
Moreover, the expertise of the dental professionals at All-on-X is unparalleled. The team comprises highly skilled and experienced dentists, many of whom have undergone rigorous training and hold advanced certifications in implantology. Their expertise is further validated by numerous awards and recognitions from esteemed dental organizations, underscoring their commitment to excellence in patient care.
Patient testimonials also speak volumes about the quality of care at All-on-X. Numerous satisfied patients have shared their positive experiences, highlighting the professionalism, compassion, and skill of the dental team. These testimonials often emphasize not only the successful outcomes of the procedures but also the supportive and reassuring environment provided by the clinic.
Choosing All-on-X in Istanbul for All-on-4 dental implants means opting for a clinic with a proven track record, cutting-edge technology, and exceptional professional expertise. These elements combine to offer patients a comprehensive and reliable solution for their dental implant needs.
The Expertise of Our Dental Team all-on-4
At All-on-X in Istanbul, our dental team is composed of highly qualified and experienced professionals dedicated to delivering exceptional care in All-on-4 dental implants. Our dentists have undergone extensive training and possess specialized certifications that distinguish them as experts in the field of dental implants.
Each member of our team has completed rigorous education and training programs, including advanced degrees from prestigious dental schools. Many of our specialists hold certifications in implantology and oral surgery, ensuring they are well-versed in the latest techniques and technologies in All-on-4 procedures. Their commitment to continuous professional development means they regularly attend workshops, seminars, and conferences to stay updated on the newest advancements in dental implantology.
In addition to their academic credentials, our dental experts boast a wealth of practical experience. They have successfully performed numerous All-on-4 procedures, restoring smiles and improving the quality of life for countless patients. This hands-on experience is crucial in ensuring the highest standards of care and optimal outcomes for each patient.
Our team’s notable accomplishments in the field of dental implants include contributions to scholarly articles and participation in research projects that have advanced the understanding and practice of implantology. Some of our dentists are also members of international dental organizations, where they collaborate with peers to share knowledge and enhance the global standards of dental care.
By choosing All-on-X in Istanbul, you can be confident that you are entrusting your dental health to a team of experts who are not only highly qualified but also genuinely passionate about their work. Their dedication to excellence and patient-centered approach ensure that you receive the best possible care and achieve the best possible results with your All-on-4 dental implants.
Advanced Technology and Techniquesall-on-4
At All-on-X in Istanbul, the integration of advanced technology and innovative techniques is pivotal to the successful execution of All-on-4 dental implants. The clinic is equipped with state-of-the-art digital imaging systems, such as 3D cone beam computed tomography (CBCT) scans, which ensure precise mapping of the patient’s oral anatomy. This level of accuracy allows for meticulous planning and positioning of the implants, ultimately enhancing the precision and safety of the procedure.
Moreover, the clinic employs computer-aided design and computer-aided manufacturing (CAD/CAM) technology, enabling the creation of highly customized prosthetic solutions. This technology not only ensures a perfect fit but also contributes to the aesthetic appeal of the final result. The use of CAD/CAM in All-on-4 procedures in Istanbul stands as a testament to the clinic’s commitment to leveraging cutting-edge tools to improve patient outcomes.
In addition to digital innovations, All-on-X in Istanbul adopts minimally invasive surgical techniques that significantly reduce recovery time and post-operative discomfort. One such technique is the use of guided implant surgery, which allows for precise insertion of implants with minimal disruption to surrounding tissues. This method not only speeds up the healing process but also enhances the overall success rates of the implants.
Another distinguishing factor is the clinic’s use of high-quality materials, such as titanium implants and durable, biocompatible prosthetics, which are essential for long-term success and patient satisfaction. The combination of these top-tier materials with advanced technological methods underscores the clinic’s dedication to providing superior dental care.
Through the seamless integration of these advanced technologies and innovative techniques, All-on-X in Istanbul has positioned itself as a leading choice for All-on-4 dental implants. Patients can expect not only improved functionality and appearance but also a higher degree of safety and reliability throughout their treatment journey.
Patient-Centered Care and Comfort all-on-4
At All-on-X in Istanbul, patient-centered care lies at the heart of their practice, ensuring that each patient receives personalized attention and an exceptional level of comfort throughout their treatment journey. The clinic’s commitment to providing a stress-free and comfortable experience begins with the initial consultation, where a comprehensive assessment is conducted to understand the unique needs and expectations of each patient.
Personalized treatment plans are meticulously crafted to cater to the specific requirements of every individual. These plans take into account the patient’s dental history, overall health, and aesthetic goals, ensuring that the proposed All-on-4 dental implants align perfectly with their needs. This tailored approach not only enhances the effectiveness of the treatment but also significantly boosts patient satisfaction.
Pain management is another critical aspect of the care provided at All-on-X. The clinic employs advanced techniques and state-of-the-art technology to minimize discomfort during and after the procedure. From the use of local anesthesia to sedation options for those with dental anxiety, every measure is taken to ensure that patients experience minimal pain and maximum comfort. This commitment to pain management extends into the recovery phase, with comprehensive post-procedure support that includes detailed aftercare instructions and readily available professional assistance.
Post-procedure support is pivotal in ensuring optimal outcomes and long-term success of the All-on-4 implants. The clinic provides continuous follow-up appointments to monitor healing and address any concerns promptly. Patients are also educated on maintaining their new dental implants, ensuring that they are equipped with the knowledge and resources needed to preserve their oral health and the functionality of their implants.
All-on-X in Istanbul is dedicated to delivering a seamless and comfortable patient experience through personalized care, effective pain management, and thorough post-procedure support. This holistic approach not only ensures the success of the All-on-4 dental implants but also fosters a trusting relationship between the patient and the clinic, reinforcing their reputation as a leading provider of dental care in Istanbul.
Affordable and Transparent Pricing all-on-4
One of the most compelling reasons to consider All-on-X in Istanbul for your All-on-4 dental implants is the clinic’s commitment to affordable and transparent pricing. Dental procedures, especially complex ones like All-on-4 implants, can often be prohibitively expensive in many countries. However, All-on-X in Istanbul has made it a priority to offer high-quality dental care at a fraction of the cost found elsewhere, without compromising on quality or patient outcomes.
The clinic provides a clear and detailed breakdown of costs associated with the All-on-4 procedure right from the outset. This transparency ensures that patients are fully informed about what to expect financially, eliminating any hidden fees or unexpected expenses. The affordability of All-on-X in Istanbul does not come at the expense of quality; the clinic utilizes state-of-the-art technology and materials, ensuring that patients receive top-notch care.
Moreover, All-on-X offers various financing options and payment plans to accommodate a broader range of budgets. These flexible payment solutions are designed to make the life-changing benefits of All-on-4 dental implants accessible to more people. Whether you need a short-term payment plan or a more extended financing arrangement, the clinic’s financial consultants are available to help tailor a plan that fits your financial situation.
In addition to affordability, the value for money at All-on-X is exceptional. Patients receive comprehensive care from experienced dental professionals in a modern facility equipped with the latest dental technology. This combination of affordability, transparency, and high-quality care makes All-on-X in Istanbul an outstanding choice for those seeking All-on-4 dental implants.
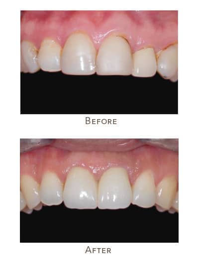
Success Stories and Testimonials
One of the most compelling reasons to consider the All-on-4 dental implant procedure at All-on-X in Istanbul is the multitude of success stories from satisfied patients. These testimonials provide an authentic glimpse into the transformative impact of the procedure on individuals’ lives. Patients from diverse backgrounds have shared their experiences, detailing the remarkable improvements in both their oral health and overall quality of life.
Take, for instance, the story of Mr. John R., a 58-year-old patient who had been struggling with severe dental issues for years. John underwent the All-on-4 procedure at All-on-X and shared before-and-after photos showcasing his remarkable transformation. Before the procedure, John faced constant discomfort and lacked confidence in his smile. Post-procedure, his radiant smile and newfound confidence were evident. “I can finally eat, speak, and smile without any hesitation,” John states. “The team at All-on-X in Istanbul exceeded my expectations, and I couldn’t be happier with the results.”
Similarly, Sarah M., a 45-year-old patient, endured chronic dental pain and missing teeth, which greatly affected her daily life. After her All-on-4 procedure at All-on-X, Sarah experienced significant relief and a dramatic improvement in her appearance. “The entire process was seamless, and the staff was incredibly supportive,” Sarah recalls. “Seeing the before-and-after photos still amazes me; I feel like a new person. My self-esteem has skyrocketed, and I no longer shy away from social interactions.”
These patient testimonials underscore the efficacy and life-changing potential of the All-on-4 procedure at All-on-X in Istanbul. The clinic’s dedication to excellence and patient satisfaction is evident in every success story, highlighting the profound positive impact on patients’ lives. Whether it’s restoring the ability to enjoy favorite foods, improving speech clarity, or boosting self-confidence, the All-on-4 dental implants at All-on-X have proven to be a life-altering solution for many.
How to Get Started with All-on-X in Istanbul all-on-4
Getting started with All-on-4 dental implants at All-on-X in Istanbul is a straightforward process designed to ensure you receive top-notch care from the outset. The first step is scheduling a consultation. This can be done through the clinic’s official website or by contacting their customer service team via phone or email. During this initial interaction, you will provide basic information about your dental health and any specific concerns or goals you may have.
During the initial visit, you will meet with a specialist who will conduct a comprehensive oral examination. This includes taking dental X-rays and, if necessary, 3D scans to evaluate the condition of your jawbone and existing teeth. The specialist will then discuss your options for All-on-4 dental implants, tailor the treatment plan to your needs, and provide a detailed overview of the procedure.
To prepare for the procedure, it is essential to follow the pre-operative instructions provided by your dental specialist. This may include guidelines on fasting prior to surgery, medications to avoid, and arrangements for post-operative care. It’s advisable to have a companion to assist you immediately after the procedure, especially if sedation is involved.
All-on-X in Istanbul prides itself on transparent communication and patient care. The team ensures you are well-informed about each step of the process, from consultation to recovery. For more information or to book an appointment, potential patients are encouraged to visit the clinic’s website or reach out directly via the provided contact details. By choosing All-on-X in Istanbul, you are opting for a seamless, patient-focused approach to dental implants.

