هل نجح العلماء في إنبات أسنان بشرية؟ الحقيقة كاملة في طب الأسنان المتقدم

ما معنى “إنبات الأسنان البشرية”؟ إنبات الأسنان البشرية يعني قدرة الجسم على إعادة نمو سن جديد يحلّ محل السن المفقود، باستخدام تقنيات مثل: الهدف هنا ليس مجرد زرع سن اصطناعي، بل إعادة نمو سن طبيعي وظيفي بالكامل داخل الفم. ما الذي توصّل إليه العلم حتى الآن؟ 1. تجارب ناجحة على الحيوانات العلماء تمكنوا من تحقيق […]
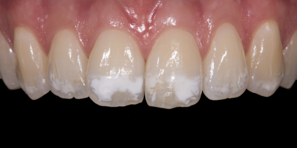
التصبغات البيضاء على الأسنان: هل يمكن علاجها نهائيًا؟

دليل طبي شامل لأسباب البقع البيضاء وطرق إزالتها بأحدث التقنيات تُعد التصبغات البيضاء على الأسنان (White Spots on Teeth) من أكثر المشكلات الجمالية التي تثير قلق المرضى، خصوصًا عندما تظهر على الأسنان الأمامية وتؤثر مباشرة على الابتسامة. قد يظن البعض أنها مشكلة بسيطة أو مؤقتة، لكن الحقيقة أن هذه البقع قد تكون مؤشرًا على اضطرابات […]
الابتسامة الهوليودية بالزيركون vs الإيماكس: مقارنة علمية شاملة لاختيار أفضل ابتسامة في 2025

المقدمة أصبحت ابتسامة هوليوود (Hollywood Smile) من أكثر علاجات تجميل الأسنان طلبًا في تركيا وإسطنبول تحديدًا، لأنها تمنحك أسنانًا أكثر بياضًا وتناسقًا وشكلًا متناغمًا مع ملامح الوجه. لكن السؤال الأهم الذي يواجهه معظم الناس قبل اتخاذ القرار هو: هل الأفضل اختيار تيجان/قشور الزيركون أم الإيماكس؟في هذا الدليل ستقرأ مقارنة علمية شاملة تساعدك على فهم الفروقات […]
ما هي أضرار تأخير علاج اعوجاج الأسنان؟ دليل طبي شامل

مقدمة يعاني كثير من الأشخاص من اعوجاج الأسنان (Malocclusion / Crooked Teeth) لكنهم يؤجلون العلاج لأسباب متعددة مثل التكلفة، الوقت، أو الاعتقاد أن المشكلة تجميلية فقط.الحقيقة الطبية هي أن تأخير علاج اعوجاج الأسنان لا يؤثر على المظهر فقط، بل قد يؤدي إلى مضاعفات صحية خطيرة على الأسنان، اللثة، والفك. في هذا المقال نستعرض بالتفصيل الأضرار […]
هل تقويم الأسنان المعدني مؤلم؟

الحقيقة الكاملة حول الألم، المراحل، والتجربة الواقعية للمريض يُعد تقويم الأسنان المعدني من أكثر علاجات تقويم الأسنان شيوعًا وفعالية في العالم، ومع ذلك يبقى السؤال الأكثر تداولًا بين المرضى قبل بدء العلاج: هل تقويم الأسنان المعدني مؤلم؟هذا السؤال طبيعي تمامًا، خاصةً لدى من يفكر بخوض تجربة تقويم الأسنان لأول مرة. في هذا المقال الشامل، نضع […]
هل بوتوكس الشفة العلوية يعوّض عن عملية قص اللثة الطويلة؟

دليل شامل لفهم الفرق، النتائج، والحل الأنسب لكل حالة ابتسامة جميلة ليست مجرد أسنان بيضاء ومتناسقة، بل هي توازن دقيق بين الأسنان (Teeth)، اللثة (Gums)، والشفة العلوية (Upper Lip).من أكثر المشكلات الشائعة التي تؤثر على جمالية الابتسامة ما يُعرف بـ الابتسامة اللثوية (Gummy Smile)، حيث يظهر جزء كبير من اللثة عند الضحك أو التحدث، ما […]
كم مرة يجب تغيير فرشاة الأسنان؟ وما هو أفضل وقت لاستخدام الخيط السني (Dental Floss)؟

مقدمة صحة الفم ليست مجرد ابتسامة جميلة أو أسنان ناصعة البياض، بل هي انعكاس مباشر لصحة الجسم ككل، وبوابة أساسية للوقاية من عشرات المشكلات الصحية التي تبدأ من تسوس الأسنان ولا تنتهي عند أمراض اللثة وفقدان الأسنان المبكر.ورغم التقدم الكبير في تقنيات طب الأسنان الحديثة، وزراعة الأسنان المتطورة، مثل تقنيات All-on-X التي أعادت الأمل لملايين […]
ما سبب تكسّر الفينير أو انفصاله؟

الأسباب الحقيقية، الأخطاء الشائعة، وكيف تتجنب فشل قشور الأسنان يُعد الفينير السني (Dental Veneers) من أكثر تقنيات تجميل الأسنان تطورًا وانتشارًا، لما يقدّمه من نتائج جمالية مذهلة خلال وقت قصير. ورغم ذلك، يتساءل كثير من المرضى: لماذا قد يتكسّر الفينير أو ينفصل عن السن؟ وهل المشكلة في المادة أم في الطبيب أم في المريض نفسه؟ […]
هل تحرّك زرعة الأسنان طبيعي؟

الأسباب الحقيقية، العلامات التحذيرية، والحلول الطبية الحديثة مقدمة طويلة تُعد زراعة الأسنان اليوم من أنجح وأدق الإجراءات الطبية في مجال طب الأسنان الحديث، وقد غيّرت حياة ملايين الأشخاص حول العالم، مانحةً إياهم القدرة على المضغ بثقة وابتسامة طبيعية تدوم لسنوات طويلة.لكن في بعض الحالات، قد يلاحظ المريض أمرًا مقلقًا بعد الزراعة، وهو تحرّك زرعة الأسنان، […]
هل الحشوات المعدنية (الفضية) تسبب التهابات اللثة أو تصبغات الأسنان؟

مقدمة – بين متانة الحشوة وشكل الابتسامة على مدى عقود طويلة، اعتُبرت الحشوات المعدنية (حشوات الأملغم – Amalgam Fillings) من أكثر أنواع الحشوات استخدامًا في طب الأسنان، بسبب قوتها وقدرتها العالية على تحمّل قوى المضغ، خصوصًا في الأضراس الخلفية. ورغم هذه المزايا، بدأ كثير من المرضى يطرحون تساؤلات مهمة: إضافة لذلك، يلجأ عدد كبير من […]
