
مقدمة موسعة: لماذا إسطنبول تحديداً؟ في عام 2026 لم تعد...
اقرأ المزيدJanuary 27, 2026
مقدمة ألم الأسنان ليس مجرد وجع عابر… بل في كثير...
اقرأ المزيدJanuary 23, 2026
المقدمة عندما تفقد سنًا، لا تفقد مجرد قطعة بيضاء من...
اقرأ المزيدJanuary 22, 2026
المقدمة علاج العصب التقليدي يُعد من أكثر الإجراءات السريرية شيوعًا...
اقرأ المزيدJanuary 20, 2026
المقدمة في عالم تجميل الأسنان الحديث، أصبحت العدسات اللاصقة للأسنان...
اقرأ المزيدJanuary 9, 2026
المقدمة عندما تشعر بألم في أحد أسنانك عند المضغ أو...
اقرأ المزيدJanuary 8, 2026
دليل طبي شامل لأحدث طرق علاج تسوس الأسنان بدون ألم...
اقرأ المزيدJanuary 5, 2026
تفسير طبي شامل قد ينقذ أسنانك دون أن تشعر يعتقد...
اقرأ المزيدJanuary 2, 2026
ثورة طبية قادمة في علاج التهاب اللثة وفقدان العظم يشهد...
اقرأ المزيدDecember 31, 2025
المقدمة لم تعد ابتسامة هوليوود مجرد إجراء تجميلي عابر، بل...
اقرأ المزيدDecember 29, 2025
ما معنى “إنبات الأسنان البشرية”؟ إنبات الأسنان البشرية يعني قدرة...
اقرأ المزيدDecember 25, 2025
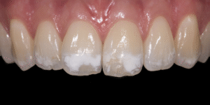
دليل طبي شامل لأسباب البقع البيضاء وطرق إزالتها بأحدث التقنيات...
اقرأ المزيدDecember 23, 2025
المقدمة أصبحت ابتسامة هوليوود (Hollywood Smile) من أكثر علاجات تجميل...
اقرأ المزيدDecember 21, 2025
مقدمة يعاني كثير من الأشخاص من اعوجاج الأسنان (Malocclusion /...
اقرأ المزيدDecember 19, 2025
الحقيقة الكاملة حول الألم، المراحل، والتجربة الواقعية للمريض يُعد تقويم...
اقرأ المزيدDecember 18, 2025
دليل شامل لفهم الفرق، النتائج، والحل الأنسب لكل حالة ابتسامة...
اقرأ المزيدDecember 17, 2025
مقدمة صحة الفم ليست مجرد ابتسامة جميلة أو أسنان ناصعة...
اقرأ المزيدDecember 16, 2025
الأسباب الحقيقية، الأخطاء الشائعة، وكيف تتجنب فشل قشور الأسنان يُعد...
اقرأ المزيدDecember 15, 2025
الأسباب الحقيقية، العلامات التحذيرية، والحلول الطبية الحديثة مقدمة طويلة تُعد...
اقرأ المزيدDecember 13, 2025
مقدمة – بين متانة الحشوة وشكل الابتسامة على مدى عقود...
اقرأ المزيدDecember 11, 2025
المقدمة في السنوات الماضية كانت الحشوات المعدنية (الأملغم) هي الخيار...
اقرأ المزيدDecember 9, 2025مقدمة تراجع اللثة هو حالة شائعة تؤثر كثيراً على صحة...
اقرأ المزيدDecember 8, 2025
المقدمة في عالم زراعة الأسنان الحديثة، يُعتبر اختيار مادة الزرعة...
اقرأ المزيدDecember 7, 2025
المقدمة ابتسامتك هي أول ما يلاحظه الآخرون، ولها تأثير قوي...
اقرأ المزيدDecember 5, 2025
مقدمة شهدت السنوات الأخيرة تحولًا كبيرًا في أبحاث طب الأسنان،...
اقرأ المزيدDecember 1, 2025
المقدمة يعتقد الكثير من المرضى أن إجراء حشو الأسنان يعني...
اقرأ المزيدNovember 27, 2025
مقدمة: من الجراحة التقليدية إلى الطب الرقمي لم يعد عالم...
اقرأ المزيدNovember 4, 2025
مقدمة قد يظن الكثير من الناس أن زيارة طبيب الأسنان...
اقرأ المزيدNovember 3, 2025
المقدمة يُعد فقدان الأسنان من أكثر المشكلات التي تؤثر على...
اقرأ المزيدNovember 2, 2025
مقدمة لطالما ارتبط علاج التسوس والمشاكل السنية بصوت المثقاب المزعج...
اقرأ المزيدOctober 29, 2025
مقدمة عندما يتعرض السن إلى تلف شديد أو التهاب في...
اقرأ المزيدOctober 28, 2025
مقدمة: يُعد سوء الإطباق (Malocclusion) من أكثر مشاكل الفم تأثيرًا...
اقرأ المزيدOctober 27, 2025
مقدمة: تركيا… عاصمة زراعة الأسنان الحديثة في السنوات الأخيرة، أصبحت...
اقرأ المزيدOctober 22, 2025
مقدمة باتت تركيا خلال السنوات الأخيرة إحدى الوجهات الأولى لزراعة...
اقرأ المزيدOctober 19, 2025
المقدمة في السنوات الأخيرة، أصبحت زراعة الأسنان في تركيا (Dental...
اقرأ المزيدOctober 17, 2025
مقدمة هل لاحظت يومًا وجود خط أسود أو رمادي دقيق...
اقرأ المزيدOctober 15, 2025
المقدمة عندما يتعلق الأمر باستعادة جمال الأسنان ووظيفتها، تأتي تركيبات...
اقرأ المزيدOctober 14, 2025
مقدمة في عالم طب الأسنان الحديث، ما زالت حشوة الأملغم...
اقرأ المزيدOctober 13, 2025
مقدمة تُعتبر الجراحة التقويمية للفك (Orthognathic Surgery) من أهم الإجراءات...
اقرأ المزيدOctober 10, 2025
مقدمة يُعدّ شقّ الشفة وقبّة الحنك (Cleft Lip and Palate)...
اقرأ المزيدOctober 9, 2025
مقدمة يُعد تقدم الفك السفلي (Mandibular Prognathism) من أبرز المشكلات...
اقرأ المزيدOctober 8, 2025
المقدمة يعاني العديد من الأشخاص من مشاكل في شكل أو...
اقرأ المزيدOctober 7, 2025
مقدمة الكثير من الناس يخلطون بين تبييض الأسنان (Teeth Whitening)...
اقرأ المزيدOctober 6, 2025
مقدمة يعتبر التهاب اللثة (Gingivitis) أحد أكثر أمراض الفم شيوعاً...
اقرأ المزيدOctober 3, 2025
مقدمة خلال السنوات الأخيرة، أصبحت تركيا واحدة من أهم الوجهات...
اقرأ المزيدSeptember 30, 2025
مقدمة تجميل الأسنان لم يعد رفاهية، بل أصبح جزءاً أساسياً...
اقرأ المزيدSeptember 29, 2025
مقدمة عامة لطالما ارتبطت الابتسامة الجميلة بالصحة والثقة والجاذبية، لكن...
اقرأ المزيدSeptember 26, 2025
مقدمة تُعتبر زراعة الأسنان ثورة حقيقية في عالم طب الأسنان،...
اقرأ المزيدSeptember 25, 2025
مقدمة يُعد خراج الأسنان من أكثر مشكلات الفم شيوعاً وخطورة...
اقرأ المزيدSeptember 24, 2025
شهد مجال طب الأسنان ثورة كبيرة خلال السنوات الأخيرة بفضل...
اقرأ المزيدSeptember 23, 2025
تُعتبر زراعة الأسنان من أنجح العلاجات الترميمية في طب الأسنان...
اقرأ المزيدSeptember 22, 2025
مقدمة تُعد تيجان الأسنان (Dental Crowns) واحدة من أكثر الحلول...
اقرأ المزيدSeptember 19, 2025
المقدمة عندما تفقد سنًا أو أكثر، يبدأ السؤال الأهم: هل...
اقرأ المزيدSeptember 18, 2025
المقدمة الابتسامة هي مفتاح الجمال والثقة بالنفس، وفي عالم تجميل...
اقرأ المزيدSeptember 17, 2025
مقدمة تعتبر الابتسامة جزءًا أساسيًا من جمال الوجه وثقة الشخص...
اقرأ المزيدSeptember 14, 2025
مقدمة تعتبر زراعة الأسنان All-on-8 واحدة من أحدث وأقوى الحلول...
اقرأ المزيدSeptember 14, 2025
مقدمة تُعد تقنية All-on-6 واحدة من أحدث وأفضل الحلول في...
اقرأ المزيدSeptember 12, 2025
المقدمة فقدان الأسنان من المشاكل التي لا تؤثر فقط على...
اقرأ المزيدSeptember 11, 2025
هل تعاني من هشاشة العظام وتفكر في زراعة الأسنان؟ ربما...
اقرأ المزيدAugust 5, 2025
مقدمة قد يبدو الأمر بسيطًا: تسوس بسيط يُعالج بحشوة… لكن...
اقرأ المزيدAugust 3, 2025
مقدمة الحصول على ابتسامة هوليوود لطالما ارتبط بعمليات نحت وتعديل...
اقرأ المزيدJuly 10, 2025
دليلك لفهم أهمية إزالة الجير عند الطبيب – مع أفضل...
اقرأ المزيدJuly 9, 2025
دليلك الكامل لفهم التهاب ما حول الزرعة (Peri-Implantitis) وعلاجه قبل...
اقرأ المزيدJuly 8, 2025
مقدمة تسوس الأسنان لدى الأطفال لم يعد مجرد مشكلة صحية...
اقرأ المزيدJuly 7, 2025
مقدمة يُعد ضرس العقل المطمور من أكثر المشكلات تعقيدًا في...
اقرأ المزيدJuly 6, 2025
مقدمة في ظل الثورة التكنولوجية التي يشهدها طب الأسنان، لم...
اقرأ المزيدJuly 5, 2025
العلاقة بين التوتر وصحة الفم – الأسباب، الأعراض، والعلاج المقدمة...
اقرأ المزيدJuly 4, 2025
مقدمة يُعد تلبيس الأسنان (تاج الأسنان) من الإجراءات الشائعة في...
اقرأ المزيدJuly 3, 2025
المقدمة يفكّر الكثير من المرضى بعد خلع أحد أسنانهم:هل يمكنني...
اقرأ المزيدJuly 2, 2025
مقدمة هل تخيلت يومًا أن يُعاد نمو السنّ بطريقة طبيعية...
اقرأ المزيدJuly 1, 2025
مقدمة في السنوات الأخيرة، شهد مجال زراعة الأسنان قفزة نوعية...
اقرأ المزيدJune 30, 2025
مقدمة مع تزايد الإقبال على تبييض الأسنان للحصول على ابتسامة...
اقرأ المزيدJune 29, 2025
مقدمة يُعد تعفن اللثة (Necrotizing Periodontal Disease) من أخطر أنواع...
اقرأ المزيدJune 28, 2025
مقدمة الابتسامة المثالية لم تعد حلمًا بعيد المنال، بل أصبحت...
اقرأ المزيدJune 27, 2025
مقدمة معاناة ألم شديد في السن قد تكون علامة واضحة...
اقرأ المزيدJune 26, 2025
مقدمة ابتسامة هوليود لم تعد حكرًا على المشاهير ونجوم السينما،...
اقرأ المزيدJune 25, 2025
مقدمة في مجال زراعة الأسنان، لا تقتصر جودة النتائج على...
اقرأ المزيدJune 24, 2025
مقدمة الخوف من ألم الإبرة لا يزال عائقًا رئيسيًا يمنع...
اقرأ المزيدJune 23, 2025
مقدمة يُعد تسوس الأسنان من أكثر أمراض الفم انتشارًا حول...
اقرأ المزيدJune 22, 2025
مقدمة تنظيف الأسنان في المنزل هو الخط الدفاعي الأول للحفاظ...
اقرأ المزيدJune 21, 2025
ما هي تقنية CAD/CAM في تصميم وتلبيس الأسنان؟ تقنية CAD/CAM...
اقرأ المزيدJune 20, 2025
ما هو انحسار اللثة؟ ولماذا يُعد خطيرًا؟ انحسار اللثة (Gum...
اقرأ المزيدJune 19, 2025
ما هو اصفرار الأسنان؟ اصفرار الأسنان هو تغيّر لون الأسنان...
اقرأ المزيدJune 18, 2025
مقدمة في عالم طب الأسنان الحديث، شهدت التقنيات تطوراً مذهلاً،...
اقرأ المزيدJune 17, 2025
مقدمة: الوقاية دائمًا خير من العلاج، وهذا ينطبق بشدة على...
اقرأ المزيدJune 16, 2025
مقدمة هل تمنيت يومًا أن ترى ابتسامتك الجديدة قبل أن...
اقرأ المزيدJune 15, 2025
مقدمة ضرس العقل هو آخر الأسنان التي تنمو في فم...
اقرأ المزيدJune 14, 2025
زراعة الأسنان تُعدّ من أكثر الإجراءات ثباتًا وفعالية في تعويض...
اقرأ المزيدJune 13, 2025
عندما يتعلق الأمر بزراعة الأسنان، فإن نوع الزرعة المستخدمة يُعد...
اقرأ المزيدJune 12, 2025
يظنّ البعض أن فقدان أحد الأسنان أمر يمكن التعايش معه...
اقرأ المزيدJune 11, 2025
مقدمة عندما نفقد سناً أو أكثر، لا تتأثر فقط ابتسامتنا،...
اقرأ المزيدJune 10, 2025
تآكل الأسنان (Dental Erosion) هو مشكلة خطيرة تتعرض لها الأسنان...
اقرأ المزيدJune 9, 2025
مقدمة: في عالم يتطور بسرعة الضوء، لم يعد الذكاء الاصطناعي...
اقرأ المزيدJune 4, 2025
مقدمة: هل فقدت معظم أسنانك أو جميعها؟ هل تبحث عن...
اقرأ المزيدJune 3, 2025
ما هي تقنية All-on-6 في زراعة الأسنان؟ تقنية All-on-6 هي...
اقرأ المزيدJune 2, 2025
في عالم طب الأسنان، لم تعد الزرعات تُجرى بالحدس والتقدير،...
اقرأ المزيدJune 1, 2025
تقنية All-on-4 هي إحدى أكثر الابتكارات تقدمًا في مجال زراعة...
اقرأ المزيدMay 31, 2025
جمال الابتسامة لا يعتمد فقط على الأسنان البيضاء والمصقولة، بل...
اقرأ المزيدMay 30, 2025
هل سبق لك أن حلمت بابتسامة مثالية مثل نجوم السينما؟...
اقرأ المزيدMay 30, 2025
هل تساءلت يومًا كيف يحصل الفنانون والمشاهير على تلك الابتسامة...
اقرأ المزيدMay 28, 2025
Typically replies within a day